24時間WEB予約
実施中
インプラント治療とは、歯が失われてしまった部分に人工の歯を埋入する治療のことです。人工の歯根を顎の骨の中に埋め込み、その上に人工の歯を固定します。 入れ歯やブリッジと異なり隣の歯を削って負担をかけることもありませんし、自分の歯と同じような感覚で強い力で違和感なく噛むことができるようになります。
また、下顎の総入れ歯が不安定で動いてしまう方や、上顎の総入れ歯で口蓋が無いものを使用される場合などには、インプラントによって入れ歯を固定する方法も有効です。
インプラント治療は保険適用外の自費治療となるため、費用は1本40万円前後と高額になります。しかし、保険が適応されるブリッジのように健康な歯を削る必要はなく、入れ歯のようなグラつきはなく安定して自分の歯と同じようによく噛めるようになります。
加えて、きちんとした手入れと定期的なメンテナンスを続ければ、その治療効果は半永久的に持続することが可能です。
インプラント治療をお考えの方からの質問として、多いのが「痛くないですか?」という内容です。インプラント治療においても、やはり患者様が不安や心配に思われる1番大きなポイントは「痛みへの恐怖」のようです。
まえだ歯科では、そういった手術を受ける患者様の立場や思いを受け止め、いかに痛みに配慮したインプラント治療をご提供できるかを追及し、痛みのない手術に努めています。インプラントを埋入する際は局所麻酔を行うため、痛みはまったくありません。
患者様とのカウンセリングの時間を可能な限りしっかりとお取りし、お口の現状・治療計画の内容・治療後のメリット・デメリットも含めて丁寧にお話ししております。
必要に応じて過去の症例をご覧いただいたり、治療前と治療後のイメージとなる歯型を作成し、見比べながら一緒にプランを立てるなど、患者様の「わからない不安」を解消するための説明責任も果たします。
また、ご提案する治療内容を押し付けることは決してしません。患者様一人一人のご状況・ご予算・ご希望もふまえて、将来も見据えた本当の意味でのベストなプランをお選びください。
片側の顎に最少本数4本のインプラントを埋め込み、その上に全体的に咬めるような固定性の歯を装着できる治療法です。
見た目や咬む機能の回復が、手術したその日に早ければできます。
オールon4は従来のインプラント治療と比べ、埋め込むインプラント数が少なくて済むため、身体的にも経済的にも、患者様の負担が最小限に抑えられる画期的な治療法です。
当院では、オールon4の治療が対応可能です。
ストローマンは、スイスのインプラントメーカーで世界シェア・実績共にトップの信頼性の高いメーカーです。
まえだ歯科では、ストローマングループのインプラントを導入しております。
2021年11月14日(日)
当院の院長がインプラントメーカーのストローマン・ジャパン社にて、歯科医師向けにインプラントの外科術式、補綴術式についてセミナー講演しました。
インプラント治療を始める前には、慎重な事前検査が必要になります。レントゲン撮影・CTスキャン・口腔内模型検査などによる十分な検査を行い、綿密な治療計画を立てます。患者様の同意を得てから手術の日程を決めます。
お口の中が清潔で炎症のない状態であることが確認したうえで、治療を開始します。 局部麻酔を行ったあと、顎の骨にインプラントを埋め込みます。このインプラントが新しい歯の土台となります。
インプラントが顎の骨と結合したら、インプラントの上にアバットメントを連結して人工の歯(上部構造)を装着する準備をします。
インプラントのヘッドに人工の歯(上部構造)を装着します。これでインプラントを装着する治療が終わります。

インプラントを装着した後、インプラントを長持ちさせるため、メンテナンス(検診)に定期的に通っていただく必要があります。インプラントのネジの締まり具合を点検したり、噛み合わせの調整も必要になります。
インプラント治療をする際に、骨が足りずにインプラントを埋入できない場合に行う骨造成手術の術式の一つです。
インプラントは上顎洞(上あごの奥歯の部分の骨の中にある空洞)の下にある骨に埋め込みますが、歯が抜けてしまって時間が経っている場合や歯周病などが原因となり骨が少なくなり、インプラントを埋入できないケースがあります。
サイナスリフトは非常に高い技術が必要となるため、すべての歯科医院で実施できるわけではありません。当院では、院長が多数の症例を経験しており、難症例でも対応が可能です。骨の厚みが足りなくてインプラントができないといわれたことがある方は是非一度当院へご相談ください。


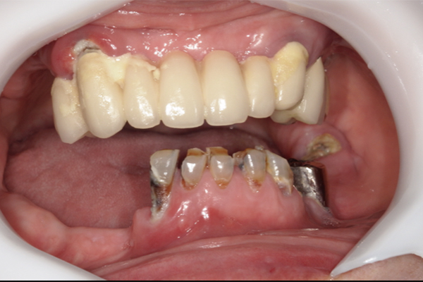
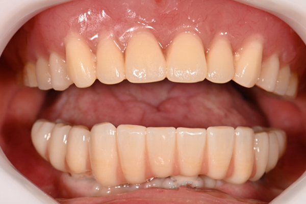
| 主訴 | 全体的にきれいにしたい |
|---|---|
| 治療内容 | 午前中に上下顎共に重度の歯周病、虫歯のため全ての歯を抜歯させていただき下顎はインプラントの土台を3本埋入し歯型を取り午後に上部構造(下顎全ての歯)を装着、上顎は一度総入れ歯を装着させていただきました。 治療が1日で完了しその日のうちに噛めるようになります。 |
| 治療期間 | 2回(1回目に資料取りをさせていただき2回目に下記の全ての治療をさせていただきました。) |
| 治療費 | 250万円 |
| 治療 リスク | 抜歯した部位などに関しては当日痛みが出ますので痛み止めなどを処方させていただきます |
| インプラント(1本あたり) | 330,000〜385,000円 |
|---|---|
| CT撮影費 | 無料 |
| BMサージカルステント | 50,000円 |
| 上部構造 | 65,000〜140,000円 |
| GBR(骨増生手術) | 100,000円 |
| サイナス リフト |
100,000円〜200,000円 (口腔環境・状態によって異なる) |
| ボーン グラフト |
100,000円 |
| イミディエート | 500,000円/1本 |
| オールon4 | 2,750,000円 |
当院では、自費診療の被せ物等には保証制度があり、保証書をお渡ししております。
| 使用開始から | 患者様ご負担 |
|---|---|
| 10年以内 | 0% |
| 10年以上 | 状況により 値段変動有 |
自分や家族の病気、怪我などにより医療費を支払った場合は、確定申告を行うことで一定の金額の所得控除を受けることができます。これを医療費控除といいます。
1年間で支払った医療費の総額が、ご家族で年間合計10万円を超える場合(または確定申告される方の合計所得金額の5%を超える場合)、医療費控除を受けることができます。
※医療費控除の対象上限金額は1年間200万円までです。
医科および歯科受診の保険治療費・保険外治療費および、交通費が対象となります。
保険診療や、インプラント治療・セラミック治療・矯正治療などの自費診療も控除の対象となります。
※美容を目的とした矯正治療、歯ブラシや歯磨き粉などの物品購入費は対象になりませんのでご注意下さい。
支払った医療費が医療費控除の対象になるかどうか、詳しくは最寄りの税務署で確認してください。
医療費控除を治療するには、確定申告が必要です。
(確定申告の申告書に必要事項を記入し、最寄りの税務署へ提出します。)
確定申告は、毎年2月中旬〜3月下旬に行われます。(還付申告は1月からできます。)
申告書は国税庁のホームページ、または税務署、市区町村窓口で御受け取りいただけます。
その他、必要書類は以下のとおりです。
申告は確定申告期限中までです。給与所得者の還付申告書の詳しい記入方法は所轄の税務署でお尋ねください。
自営業の方は税理士さんに領収書をお渡しください。
骨が1mmしかないような状態の方が、セカンドオピニオンで来院されています。
インプラント認定医である院長が、診査診断を行い、難しい症例の患者様に最適な治療計画をご提案します。
南町田の歯医者「まえだ歯科 南町田駅前院」は南町田の総合歯科医院です。
急な痛み、取れた腫れたなどの急患対応から、インプラントのような外科処置が必要な診療まで、
全ての歯科治療で高い技術力を提供いたします。
| 診療時間 | 月 | 火 | 水 | 木 | 金 | 土 | 日 |
|---|---|---|---|---|---|---|---|
| 10:00~19:00 | ● | ● | ● | ● | ● | ● | ● |
※祝日の診療時間は土日と同じです。
〒194-0004
東京都町田市鶴間3丁目2番地8
『南町田グランベリーパーク駅』より徒歩3分