24時間WEB予約
実施中


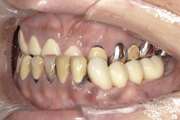
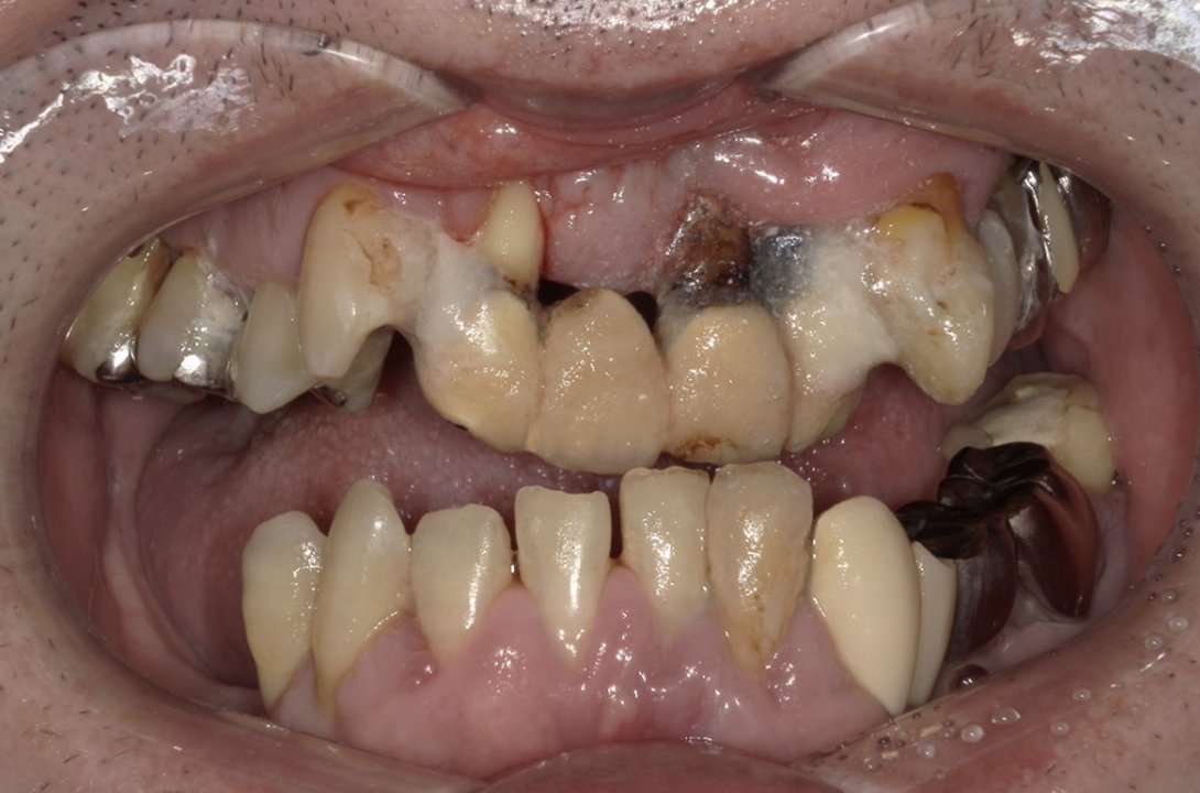
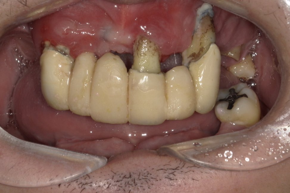
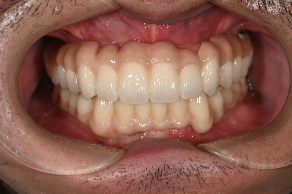
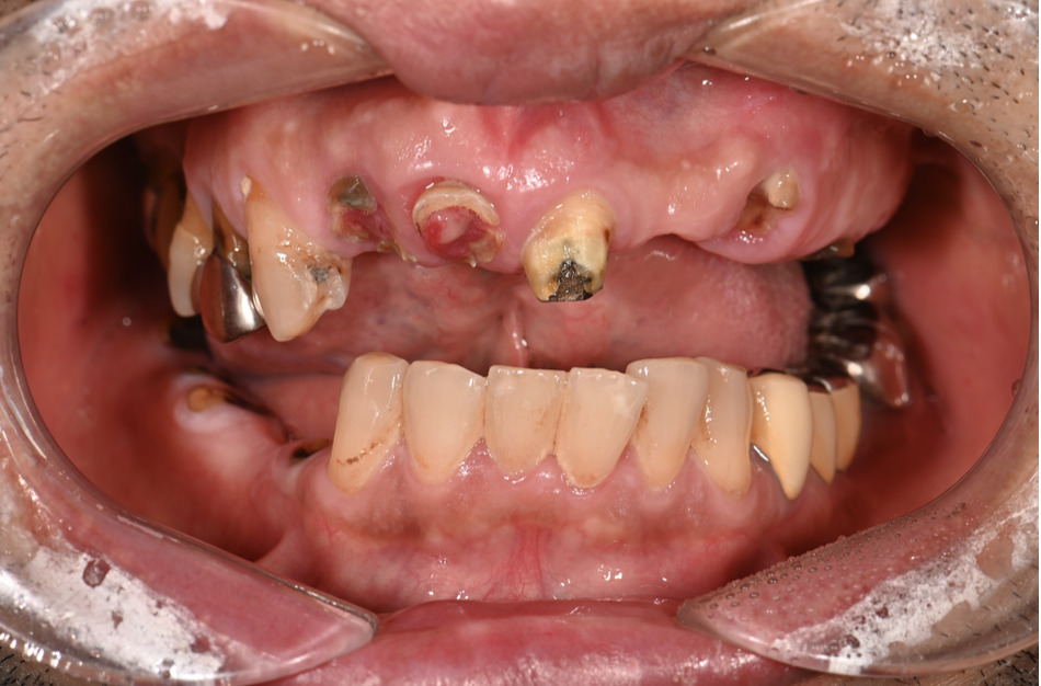
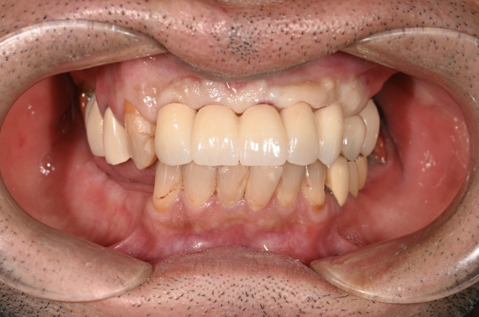
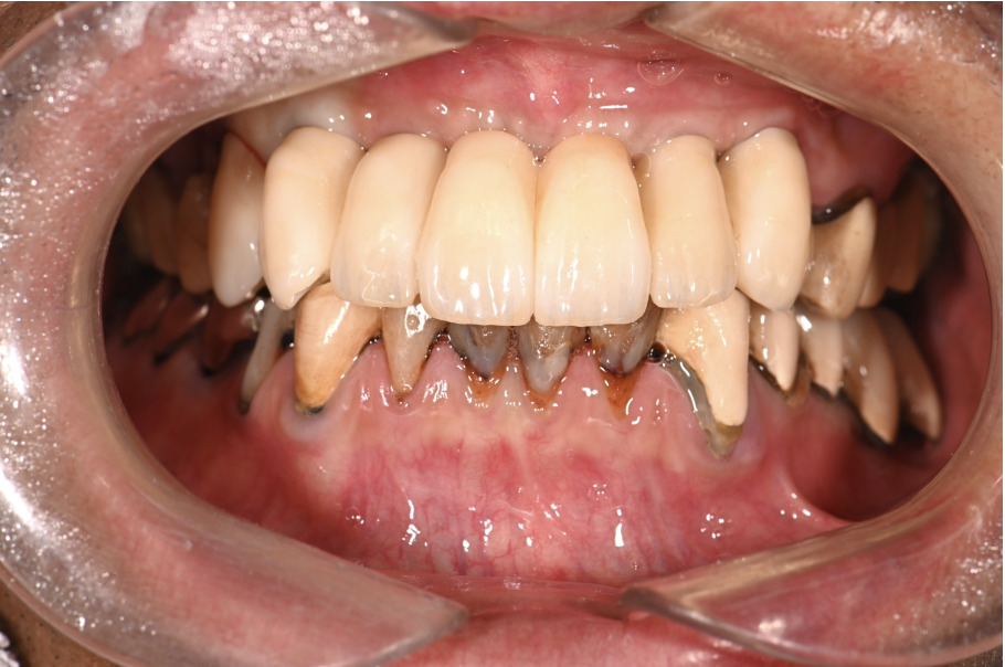
| 主訴 | 全体的にきれいにしたい |
|---|---|
| 治療内容 | 午前中に上下顎共に重度の歯周病、虫歯のため全ての歯を抜歯させていただき下顎はインプラントの土台を3本埋入し歯型を取り午後に上部構造(下顎全ての歯)を装着、上顎は一度総入れ歯を装着させていただきました。 治療が1日で完了しその日のうちに噛めるようになります。 |
| 治療期間 | 2回(1回目に資料取りをさせていただき2回目に下記の全ての治療をさせていただきました。) |
| 治療費 | 250万円 |
| 治療 リスク | 抜歯した部位などに関しては当日痛みが出ますので痛み止めなどを処方させていただきます |


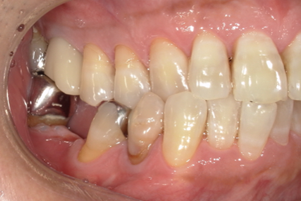
| 主訴 | 噛めない |
|---|---|
| 治療内容 | 左上奥歯のインプラント治療 |
| 治療期間 | 3ヶ月 |
| 治療費 | 87万円 |
| 治療 リスク | インプラントの土台を入れた後最終的な歯が装着されるまで仮歯をしていただきます |


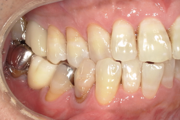
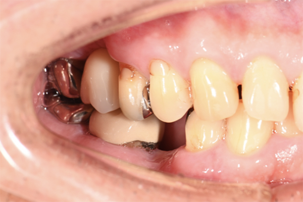
| 主訴 | 奥歯で噛めない、顎が痛い |
|---|---|
| 治療内容 | 奥歯のインプラント治療、前歯・奥歯の被せ物治療 |
| 治療期間 | 6ヶ月 |
| 治療費 | 350万円 |
| 治療リスク | 被せ物をつけた初期の段階で歯がしみることがある(時間とともに改善する) インプラント治療後に3日程度痛みと腫れを伴うことがある |


| 主訴 | 右上の奥歯を入れたい |
|---|---|
| 治療内容 | 右上第一大臼歯に対するインプラント治療 |
| 治療期間 | 4ヶ月 |
| 治療費 | 39万5千円 |
| 治療 リスク | インプラントの土台を入れた後最終的な歯が装着されるまで仮歯をしていただきます |


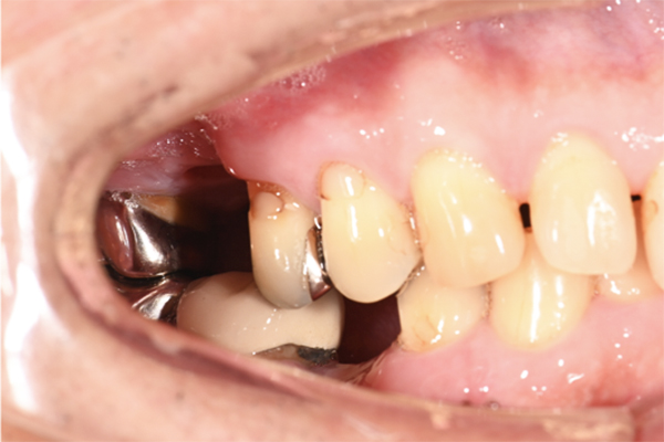
| 主訴 | 奥歯が痛い |
|---|---|
| 治療内容 | 右下大臼歯部(3本)に対するインプラント治療 |
| 治療期間 | 4ヶ月 |
| 治療費 | 87万円 |
| 治療 リスク | 抜歯後インプラント治療まで待ち時間(3ヶ月程度)が必要なことがあります |


| 主訴 | 右下の奥歯を入れたい |
|---|---|
| 治療内容 | 右下第二大臼歯のインプラント治療 |
| 治療期間 | 3ヶ月 |
| 治療費 | 39万5千円 |
| 治療 リスク | インプラントの土台を入れた後最終的な歯が装着されるまで仮歯をしていただきます |


| 主訴 | 前歯が揺れる |
|---|---|
| 治療内容 | 上の前歯のインプラント治療 |
| 治療期間 | 4ヶ月 |
| 治療費 | 39万7千円 |
| 治療 リスク | インプラントの土台を入れた後最終的な歯が装着されるまで仮歯をしていただきます |


| 主訴 | 右下の奥歯が噛めない |
|---|---|
| 治療内容 | 右下第二大臼歯に対するインプラント治療 |
| 治療期間 | 2ヶ月 |
| 治療費 | 39万5千円 |
| 治療 リスク | インプラントの土台を入れた後最終的な歯が装着されるまで仮歯をしていただきます |


| 主訴 | 左上奥歯を入れたい |
|---|---|
| 治療内容 | 左上第一大臼歯に対するインプラント治療 |
| 治療期間 | 3ヶ月 |
| 治療費 | 39万5千円 |
| 治療 リスク | インプラントの土台を入れた後最終的な歯が装着されるまで仮歯をしていただきます |


| 主訴 | 全体的にきれいにしたい |
|---|---|
| 治療内容 | 左下のインプラント治療 インプラント治療後その他の部位の虫歯治療も実施 |
| 治療期間 | 3ヶ月 |
| 治療費 | 95万円 |
| 治療 リスク | インプラントの土台を入れた後最終的な歯が装着されるまで仮歯をしていただきます |


| 主訴 | 入れ歯が噛めない |
|---|---|
| 治療内容 | 左下第一大臼歯に対するインプラント治療 |
| 治療期間 | 3ヶ月 |
| 治療費 | 39万5千円 |
| 治療 リスク | インプラントの土台を入れた後最終的な歯が装着されるまで仮歯をしていただきます |


| 主訴 | 奥歯をなおしたい |
|---|---|
| 治療内容 | 右下第一大臼歯に対するインプラント治療 |
| 治療期間 | 3ヶ月 |
| 治療費 | 39万5千円 |
| 治療 リスク | インプラントの土台を入れた後最終的な歯が装着されるまで仮歯をしていただきます |


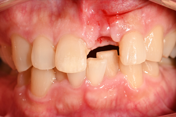
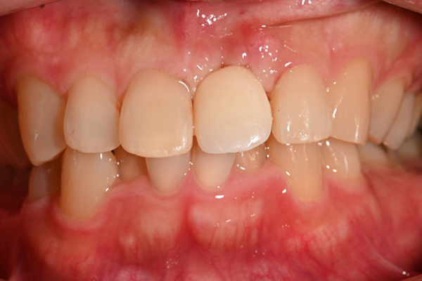
| 主訴 | 右上の歯が抜けた |
|---|---|
| 治療内容 | 右上側切歯に対するインプラント治療 |
| 治療期間 | 4ヶ月 |
| 治療費 | 39万5千円 |
| 治療 リスク | インプラントの土台を入れた後最終的な歯が装着されるまで仮歯をしていただきます |


| 主訴 | 奥歯に歯を入れたい |
|---|---|
| 治療内容 | 左下大臼歯部に対するインプラント治療 |
| 治療期間 | 3ヶ月(通院4回) |
| 治療費 | 39万5千円 |
| 治療 リスク | インプラントの土台を入れた後最終的な歯が装着されるまで仮歯をしていただきます |


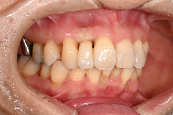
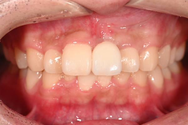
| 主訴 | 前歯がぐらつく |
|---|---|
| 治療内容 | 左上前歯に対するインプラント治療 |
| 治療期間 | 3ヶ月 |
| 治療費 | 41万5千円 |
| 治療 リスク | 最終的な歯が入るまでは仮歯になります |


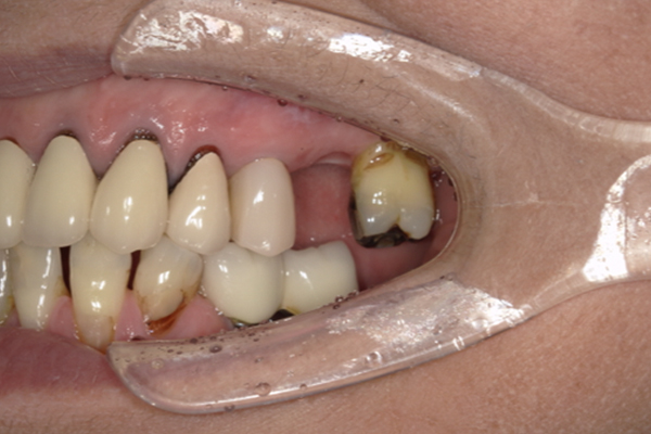
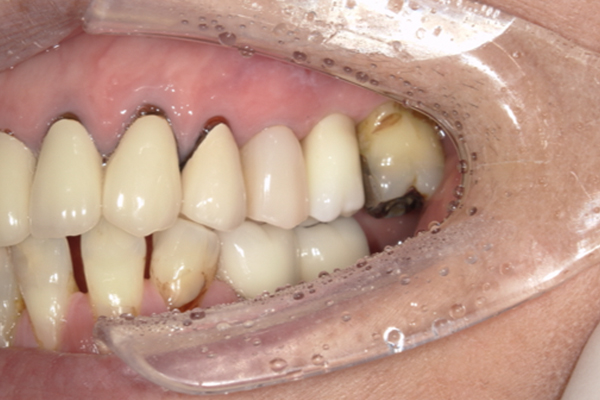
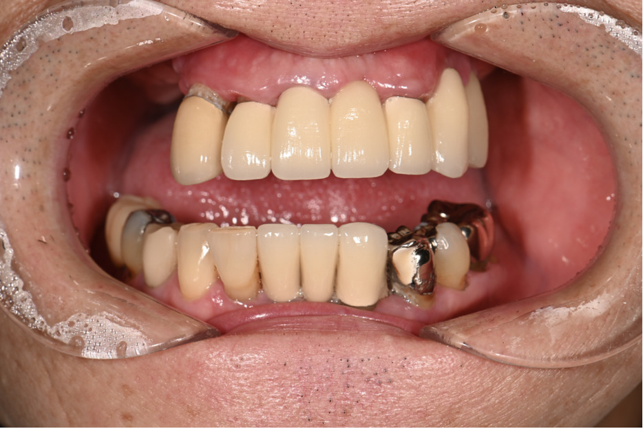
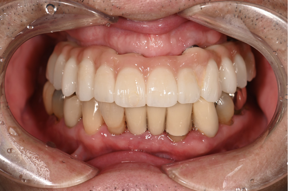
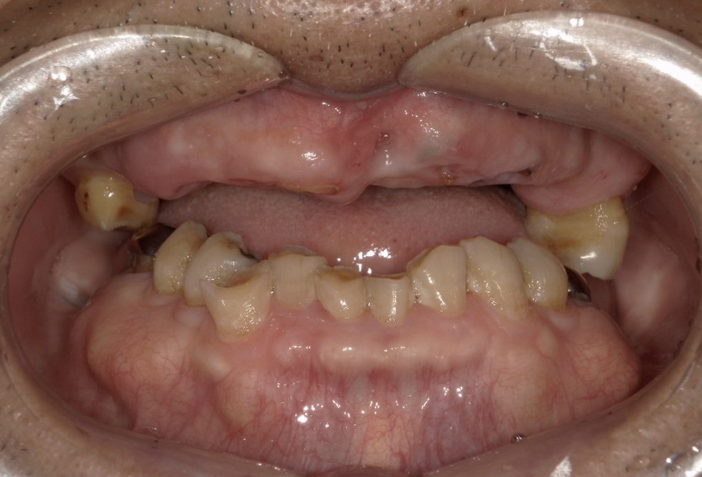
| 主訴 | 上の歯がぐらぐらする |
|---|---|
| 治療内容 | 上顎の歯が重度の歯周病のため全て抜歯し、
上顎に対するインプラント治療を行った。 午前中にインプラントの土台を入れ、夕方に上部構造(歯)を装着。 1日で噛めるようになる治療法。 |
| 治療期間 | 1日 |
| 治療費 | 250万円 |
| 治療 リスク | インプラント治療後2、3日はやや痛みを伴うことがあります。 |


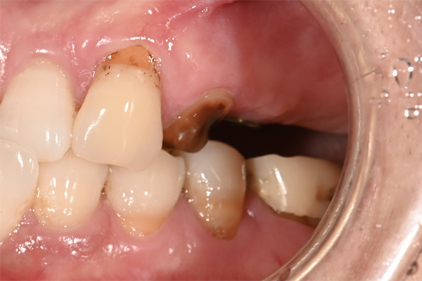
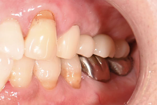
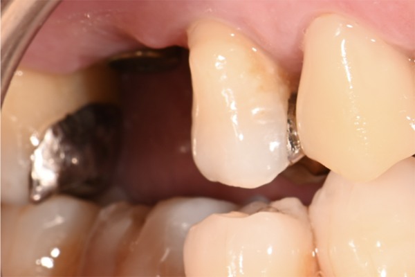
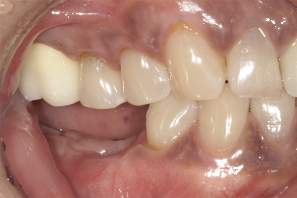
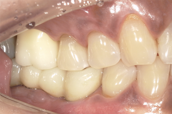
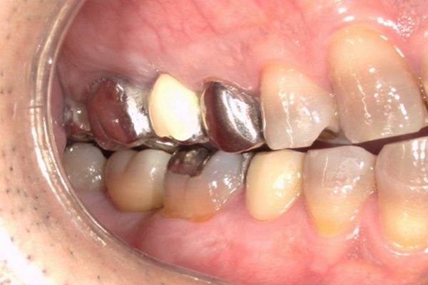
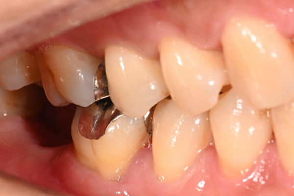
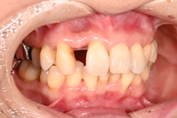
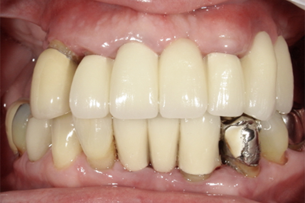
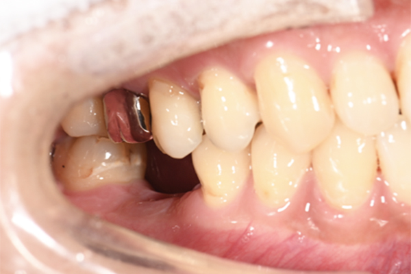
| 主訴 | 右下の奥歯が痛い |
|---|---|
| 治療内容 | 右下奥歯が割れていたため抜歯、その後インプラント治療を行った。(左の写真は抜歯後の写真) |
| 治療期間 | 4ヶ月 |
| 治療費 | 41万5千円 |
| 治療 リスク | 抜歯後インプラントの処置まで3ヶ月程度治癒期間(骨ができるまでの期間)が必要なことがあります。 |


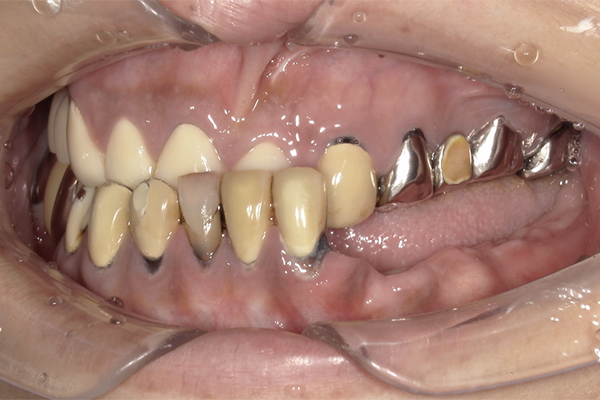
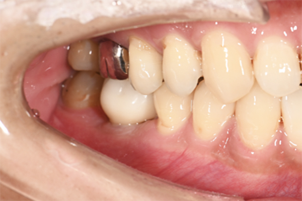
| 主訴 | 歯が痛い |
|---|---|
| 治療内容 | 右上奥歯に対するインプラント治療 (今後右下に対してもインプラント治療を予定) |
| 治療期間 | 6ヶ月 |
| 治療費 | 44万5千円 |
| 治療 リスク | インプラントを埋入したあと3ヶ月程度待ち時間が必要。 その期間は仮歯を使用していただきます。 |


| 主訴 | 歯がグラグラして噛めない |
|---|---|
| 治療内容 | 上顎に対するインプラント治療 |
| 治療期間 | 1日 |
| 治療費 | 204万6千円 |
| 治療 リスク | 最終的な歯が入るまでは仮歯になります。 |


| 主訴 | 歯がグラグラして噛めない |
|---|---|
| 治療内容 | 上顎、下顎に対するインプラント治療 |
| 治療期間 | 1日 |
| 治療費 | 409万2千円 |
| 治療 リスク | 最終的な歯が入るまでは仮歯になります。 |


| 主訴 | 歯を入れたい |
|---|---|
| 治療内容 | 上顎、下顎に対するインプラント治療 |
| 治療期間 | 1日 |
| 治療費 | 409万2千円 |
| 治療 リスク | 最終的な歯が入るまでは仮歯になります。 |


| 主訴 | 歯が抜けてしまった |
|---|---|
| 治療内容 | 上顎に対するインプラント治療 |
| 治療期間 | 1日 |
| 治療費 | 204万6千円 |
| 治療 リスク | 最終的な歯が入るまでは仮歯になります。 |


| 主訴 | 前歯を入れたい |
|---|---|
| 治療内容 | 上顎に対するインプラント治療 |
| 治療期間 | 1日 |
| 治療費 | 204万6千円 |
| 治療 リスク | 最終的な歯が入るまでは仮歯になります。 |


| 主訴 | 歯を入れたい |
|---|---|
| 治療内容 | 上顎に対するインプラント治療 |
| 治療期間 | 1日 |
| 治療費 | 204万6千円 |
| 治療 リスク | 最終的な歯が入るまでは仮歯になります。 |
南町田の歯医者「まえだ歯科 南町田駅前院」は南町田の総合歯科医院です。
急な痛み、取れた腫れたなどの急患対応から、インプラントのような外科処置が必要な診療まで、
全ての歯科治療で高い技術力を提供いたします。
| 診療時間 | 月 | 火 | 水 | 木 | 金 | 土 | 日 |
|---|---|---|---|---|---|---|---|
| 10:00~19:00 | ● | ● | ● | ● | ● | ● | ● |
※祝日の診療時間は土日と同じです。
〒194-0004
東京都町田市鶴間 3丁目2番地8
『南町田グランベリーパーク駅』より徒歩3分
\今すぐ診て欲しい方はお電話ください/
042-850-7671

南町田駅前院のご予約が取れない場合、
南町田グランベリーパーク院でご案内できる場合がございます。
最寄り駅も南町田グランベリーパーク駅と同じため、
ぜひご検討ください。