24時間WEB予約
実施中


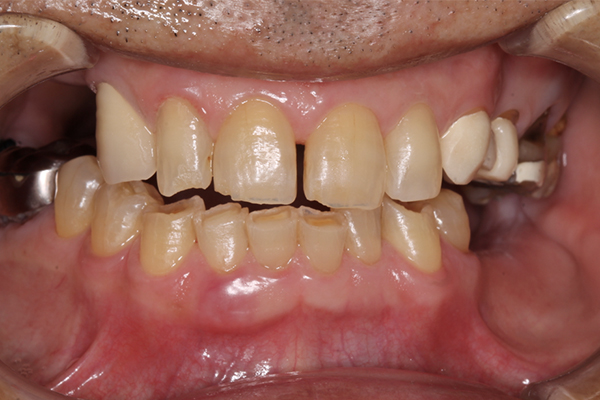
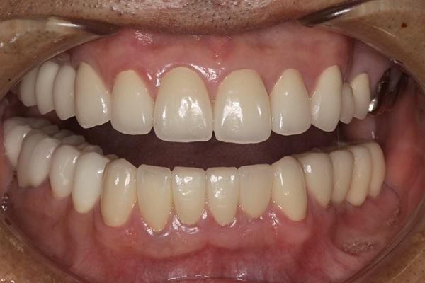
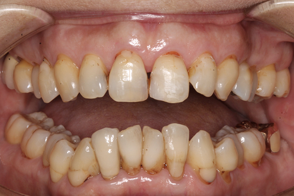
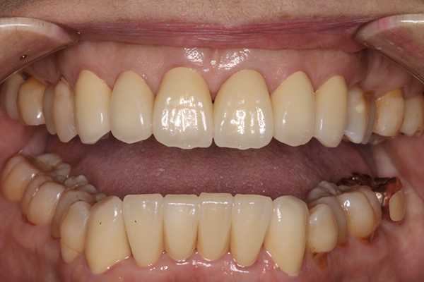
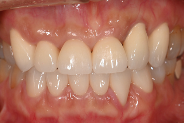
| 主訴 | 歯の色、歯並びが気になる |
|---|---|
| 治療内容 | 前歯・奥歯の被せ物治療(ラミネートベニア、オールセラミック) |
| 治療期間 | 2ヶ月 |
| 治療費 | 190万円 |
| 治療リスク | 被せ物をつけた初期の段階で歯がしみることがある(時間とともに改善する) |


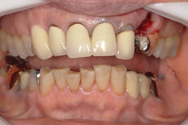
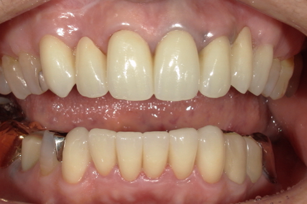
| 主訴 | 奥歯で噛めない、顎が痛い |
|---|---|
| 治療内容 | 奥歯のインプラント治療、前歯・奥歯の被せ物治療 |
| 治療期間 | 6ヶ月 |
| 治療費 | 350万円 |
| 治療リスク | 被せ物をつけた初期の段階で歯がしみることがある(時間とともに改善する) インプラント治療後に3日程度痛みと腫れを伴うことがある |


| 主訴 | 下の歯がでこぼこして気になる |
|---|---|
| 治療内容 | 下の前歯の被せ物治療(ラミネートベニア) |
| 治療期間 | 1ヶ月 |
| 治療費 | 70万円 |
| 治療リスク | 被せ物をつけた初期の段階で歯がしみることがある(時間とともに改善する) |


| 主訴 | 前歯の歯茎の際の虫歯 |
|---|---|
| 治療内容 | 上下前歯の被せ物治療(ジルコニア) |
| 治療期間 | 1ヶ月 |
| 治療費 | 100万円 |
| 治療リスク | 被せ物をつけた初期の段階で歯がしみることがある(時間とともに改善する) |


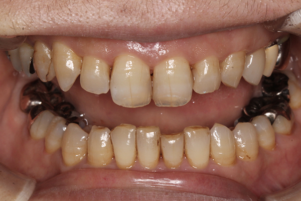
| 主訴 | かみ合わせが気になる |
|---|---|
| 治療内容 | 上下前歯(12本)に対する被せ物治療 |
| 治療期間 | 2ヶ月 |
| 治療費 | 120万円 |
| 治療リスク | 神経のある歯は治療後最初しみることがあります |


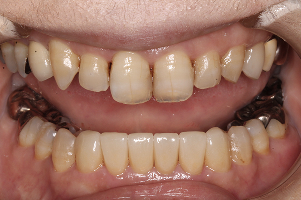
| 主訴 | 前歯をきれいにしたい |
|---|---|
| 治療内容 | 上下前歯(12本)に対する被せ物治療 |
| 治療期間 | 3週間 |
| 治療費 | 120万円 |
| 治療リスク | 神経のある歯は治療後最初しみることがあります |


| 主訴 | 左下に歯を入れたい |
|---|---|
| 治療内容 | 左下第二小臼歯にcadcam冠を装着(保険治療) |
| 治療期間 | 1週間(通院回数、2回) |
| 治療費 | 保険診療 |
| 治療リスク | 経年的にすり減ることがあります |


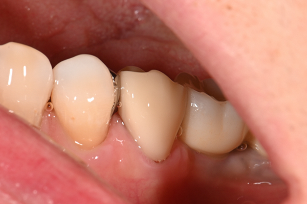
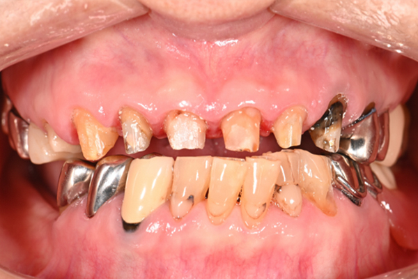
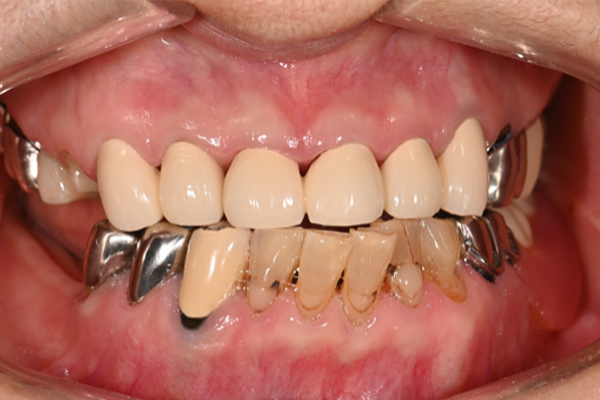
| 主訴 | 全体的に黒いのが気になる。保険適応の範囲で治療したい |
|---|---|
| 治療内容 | 上の前歯6本の被せ物治療 (左側の写真は古い被せ物を外した後の写真です) |
| 治療期間 | 2回 |
| 治療費 | 保険診療 |
| 治療リスク | 経年的に着色、摩耗することがあります |
南町田の歯医者「まえだ歯科 南町田駅前院」は南町田の総合歯科医院です。
急な痛み、取れた腫れたなどの急患対応から、インプラントのような外科処置が必要な診療まで、
全ての歯科治療で高い技術力を提供いたします。
| 診療時間 | 月 | 火 | 水 | 木 | 金 | 土 | 日 |
|---|---|---|---|---|---|---|---|
| 10:00~19:00 | ● | ● | ● | ● | ● | ● | ● |
※祝日の診療時間は土日と同じです。
〒194-0004
東京都町田市鶴間 3丁目2番地8
『南町田グランベリーパーク駅』より徒歩3分
\今すぐ診て欲しい方はお電話ください/
042-850-7671

南町田駅前院のご予約が取れない場合、
南町田グランベリーパーク院でご案内できる場合がございます。
最寄り駅も南町田グランベリーパーク駅と同じため、
ぜひご検討ください。